Accessible Version
Warm Springs Dental
Official Team Dentists for the Portland Trail Blazers!

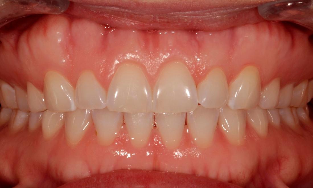
Emily C

We worked with Emily to address her worn teeth and unbalance bite that had gradually worsened from clenching and grinding while she slept. We were able to re-establish more youthful tooth length and shape while correcting her occlusion and improving her smile! We have placed upper and lower, conservatively prepped veneers dialed in with the T-scan - ensuring destructive occlusal forces have been minimized to increase the longevity of her restorations. A protective occlusal splint helps Emily keep her new teeth protected and beautiful!
Improve your smile today – call to schedule a consultation!
If you have difficulty using our website, please email us or call us at (503) 692-0337
View the ADA Accessibility Statement