Smile Gallery
Our smile gallery showcases some of our patients' before-and-after results. As you can see, just about anything is possible with modern dentistry.
Take a moment to browse through our patient cases and discover the possibilities when it comes to beautiful smiles.
Take a moment to browse through our patient cases and discover the possibilities when it comes to beautiful smiles.
Before
After
Before
After

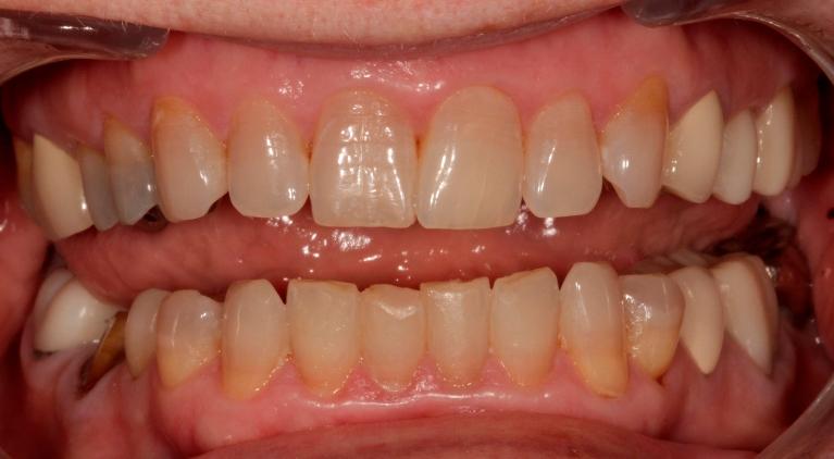
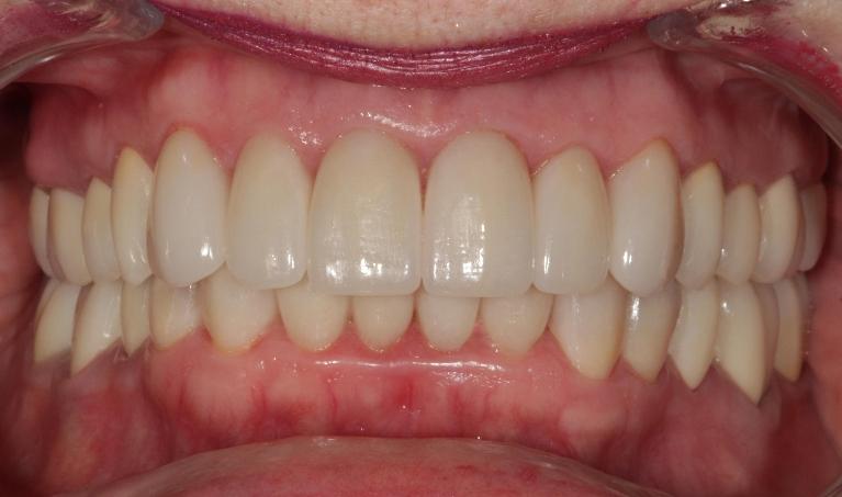
Ben K.
After years of neglecting his teeth, Ben came to the realization that it had become detrimental to his overall health. Multiple infected teeth and inadequate chewing ability made it difficult for him to get a good nights sleep and stay healthy. And forget about smiling. Sadly, that was something he just wouldn't do. Before retiring, Ben worked as a surgical tech at an Oral Surgery center and had seen some amazing transformations take place. Finally, he made the decision it was time for his own!
After discussing many potential treatment options, Ben decided to keep as many upper teeth as possible ...
Before

After

Before

After

Gina J.
Gina came to us with an unfortunate history of failing dental work. Through careful investigation and diagnosis we developed a plan to restore her beautiful smile. We addressed and remedied the bite discrepancies and force imbalances that were contributing to her failing dentistry while obtaining a stunning end result. We all love to see her confident smile now!
Before

After

Before
After
LeeAnn M.
LeeAnn was unsatisfied with the esthetics of her smile. Her natural teeth and existing restorations had evolved into multiple shades and sizes over time. She was no longer excited to show them off with her smile.
With her full mouth smile makeover we were able to gain better lip support, harmony of her new teeth with her smile line and a more ideal, comfortable, balanced bite.
The after picture says it all: A new, stunning, confident smile!
Before

After

Jon M
Jon's treatment was multifaceted. From dental implants to veneers, to porcelain crowns. We opened his collapsed and severely worn bite to make space for long lasting, lifelike, natural looking teeth. Like so many others, Jon was an expert at hiding his smile. Now, when he smiles, his grandchildren let him know how nice his teeth look and how happy he is! What a great transformation and we couldn't be happier for him!
Before

After
Emily C
We worked with Emily to address her worn teeth and unbalance bite that had gradually worsened from clenching and grinding while she slept. We were able to re-establish more youthful tooth length and shape while correcting her occlusion and improving her smile! We have placed upper and lower, conservatively prepped veneers dialed in with the T-scan - ensuring destructive occlusal forces have been minimized to increase the longevity of her restorations. A protective occlusal splint helps Emily keep her new teeth protected and beautiful!
Before

After

Before

After

Julieta
Julieta has a very unique situation. She is not missing any teeth but had significant spacing between her back teeth. She underwent orthodontic treatment to align her teeth more ideally, then had dental implants placed to fill the large spaces in the back. We rejuvenated her worn and chipping teeth with a combination of porcelain crowns and veneers placed on her upper 10 front teeth.
Before
After
Dave H.
Dave came to us with multiple missing, broken and failing teeth. The old, fractured bridge and now missing tooth made him hide his smile. Many treatment options were available for Dave and together we decided on an all implant supported bridge.
We replaced his upper teeth with 5 implants and a full zirconia implant bridge. The transformation in his smile is simply amazing!
Before
After

Noel J.
Noel received six veneers after his old composite restorations began discoloring and breaking down. Masking the tetracycline stain of his underlying natural teeth gave him this very nice result!
Before
After

Joel A.
Joel's bite and the space between his front teeth were first improved with invisalign. 4 porcelain veneers were then placed to completely close the space and improve the shape of his upper incisors.
Before

After

Nick H.
For Nick, we placed 8 veneers, 1 small composite and whitened his teeth. We re-establish proper chewing function and performed an occlusal equilibration with the T-scan digital bite force analysis system. Nick reports his bite feels more stable than ever and the cosmetic improvement was a nice bonus!
Ready to book an appointment?
Schedule Now