Accessible Version
Warm Springs Dental
Official Team Dentists for the Portland Trail Blazers!

Ben K.

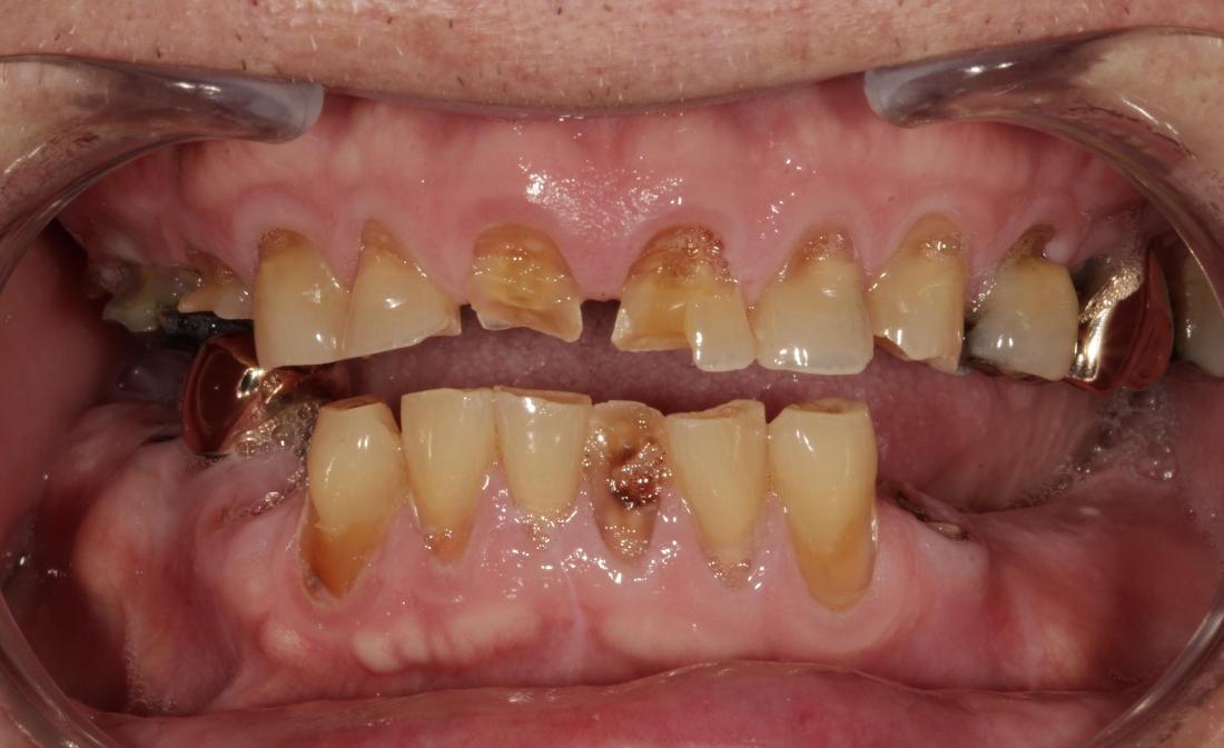
After years of neglecting his teeth, Ben came to the realization that it had become detrimental to his overall health. Multiple infected teeth and inadequate chewing ability made it difficult for him to get a good nights sleep and stay healthy. And forget about smiling. Sadly, that was something he just wouldn't do. Before retiring, Ben worked as a surgical tech at an Oral Surgery center and had seen some amazing transformations take place. Finally, he made the decision it was time for his own!

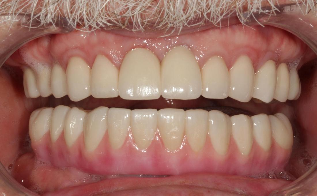
After discussing many potential treatment options, Ben decided to keep as many upper teeth as possible and replace all lower teeth with something non-removable. Dr. Bryan removed his infected and broken teeth and placed implants under oral sedation. We placed four upper implants to support a three tooth implant bridge and two individual implant crowns on his central incisors. The remaining upper teeth were restored with individual crowns and a traditional three tooth bridge.

Ben’s lower All-on-5 implant supported bridge was completed next. Dr. Bryan removed his remaining lower teeth and mandibular tori, placed 5 implants and attached a temporary (non-removable) bridge all in one appointment. After 3 months of healing, his final full zirconia bridge was securely screwed on to the implants and his bite was meticulously balanced with the T-scan.

Not only have we given Ben his smile back, he reports his overall health has improved, he sleeps better and doesn’t feel sick all the time. Truly an amazing life transformation!

Improve your smile today – call to schedule a consultation!
If you have difficulty using our website, please email us or call us at (503) 692-0337
View the ADA Accessibility Statement