Skip to main content Accessible Version
TMD Treatment and Bite Force Analysis
A healthy, beautiful smile starts here

TMD Treatment and Bite Force Analysis | Dentist
Improve your smile today – call to schedule a consultation!
Claim Now!

TMD Treatment and Bite Force Analysis

Jaw pain plagues millions of Americans, making it difficult to eat and reducing your quality of life.

Jaw joint dysfunction sometimes develops from trauma, a misaligned bite, or unknown reasons. If you experience jaw pain, Dr. Bryan Euzent and Dr. Jessica Ellis have experience with effective solutions.

What Is TMJ Dysfunction?

Temporomandibular joint dysfunction syndrome (TMD or TMJ) is a common condition that can be characterized by jaw pain of varying degrees, muscle soreness, frequent headaches, and even ringing in your ears. You may also experience clicking, popping, or locking of the jaw joints, which can worsen over time.

Treatment Options for TMD

There are several ways to treat TMD. We will perform a thorough analysis of your bite, muscles, and jaw joint function to determine the best course of action. 

Some of the many options include:

Occlusal splints (nightguards) – A splint gently guides your jaw into a comfortable position and protects your teeth from damage caused by teeth grinding (bruxism).
Tooth realignment via orthodontics – Misaligned teeth can prevent your jaw from seating comfortably and can also cause premature wear to your teeth.
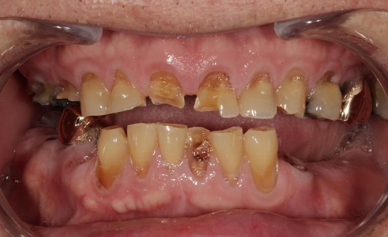
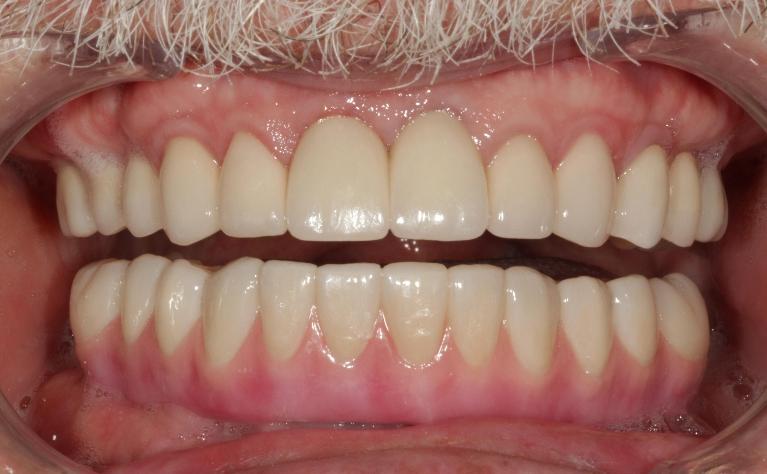
Restoring worn teeth – Bruxism may create poor occlusion (bite), leading to jaw joint dysfunction.
Reshaping of teeth or dentistry – Making minor adjustments to your natural teeth or dentistry helps with proper alignment.
Bite force balancing – T-Scan provides valuable information about premature contact between your upper or lower teeth.
Relaxation techniques – Stress management and lifestyle adjustments along with a reduction in caffeine, alcohol, and smoking can all reduce the symptoms caused by TMD.
Therapeutic massage – An experienced massage therapist may be able to help tense muscles release, providing relief.

BOTOX® for Jaw Pain Treatment

Jaws exert an enormous amount of force, which can lead to muscle pain, especially for patients who have a nighttime teeth grinding habit. BOTOX® injections in the jaw muscles help them relax and reduce their strength. You will still be able to chew and speak properly, but your jaw muscles will feel more relaxed. BOTOX® injections in the jaw muscles can also reduce the square, oversized jowls that patients who grind their teeth often develop over the years.

Digital Bite-Force Balancing 

The T-Scan® is the only clinically recognized and research-proven digital bite force analysis system. 

With T-Scan, we are able to see what was once impossible when analyzing your bite. This state-of-the-art digital system helps us identify and correct bite imbalances that harm the integrity of your dentition and jaw joints. In other words, we can detect areas of your bite that prevent your teeth from coming together properly.

Whether we are eliminating destructive forces on your teeth that cause them to wear and fracture prematurely or rebuilding you a brand new smile, the T-Scan enables us to balance your bite and chewing function with precision and accuracy that were previously unattainable. 

We help our patients enjoy fewer headaches, tension, and jaw pain, giving them the opportunity to enjoy life to the fullest.

Contact Us for a TMD Evaluation

Our experienced dentists are here to help you get started back toward a comfortable jaw and bite. Call our Tualatin dental office to schedule an evaluation!

Meet Our Doctors:

Jessica Ellis DDS

Dr. Jessica Ellis was born and raised in the Portland area. She graduated from George Fox University and completed her ...

Bryan Euzent DDS, AFAAID

Dr. Bryan Euzent grew up in Sunnyvale, California, and earned a BS in chemistry from the University of the Pacific in Stockton, California. In 2006, he moved to Oregon after graduating from the University of ...

Getting an appointment is fast and easy!
Get Started!