Accessible Version
Warm Springs Dental
Official Team Dentists for the Portland Trail Blazers!

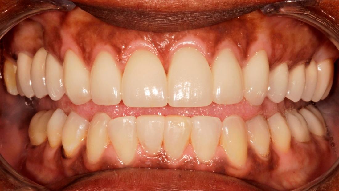
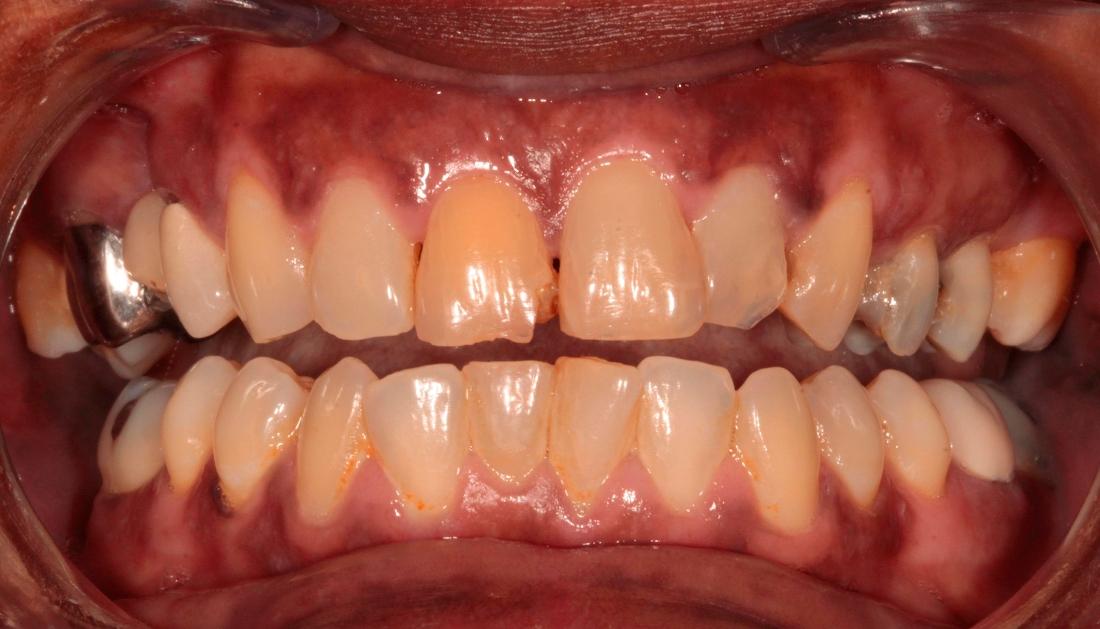
Gina J.

Gina came to us with an unfortunate history of failing dental work. Through careful investigation and diagnosis we developed a plan to restore her beautiful smile. We addressed and remedied the bite discrepancies and force imbalances that were contributing to her failing dentistry while obtaining a stunning end result. We all love to see her confident smile now!
Improve your smile today – call to schedule a consultation!
If you have difficulty using our website, please email us or call us at (503) 692-0337
View the ADA Accessibility Statement