Accessible Version
Warm Springs Dental
Official Team Dentists for the Portland Trail Blazers!

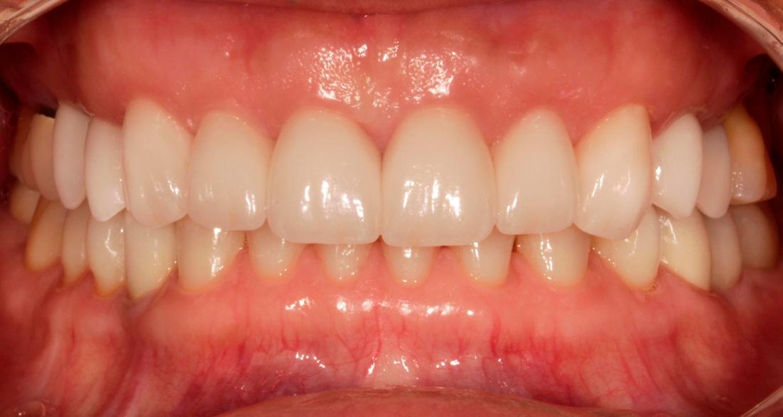
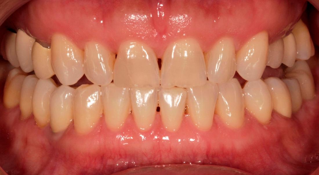
Julieta

Julieta has a very unique situation. She is not missing any teeth but had significant spacing between her back teeth. She underwent orthodontic treatment to align her teeth more ideally, then had dental implants placed to fill the large spaces in the back. We rejuvenated her worn and chipping teeth with a combination of porcelain crowns and veneers placed on her upper 10 front teeth.
Have Questions? Get in Touch
If you have difficulty using our website, please email us or call us at (503) 692-0337
View the ADA Accessibility Statement
Privacy Policy