Accessible Version
Warm Springs Dental
Official Team Dentists for the Portland Trail Blazers!

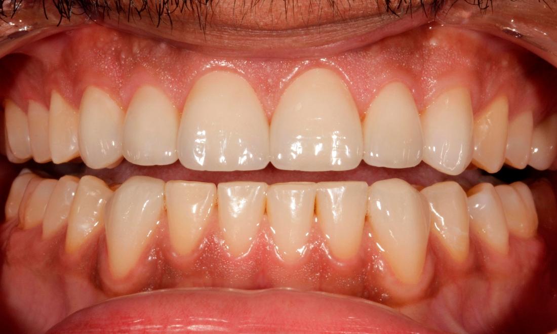
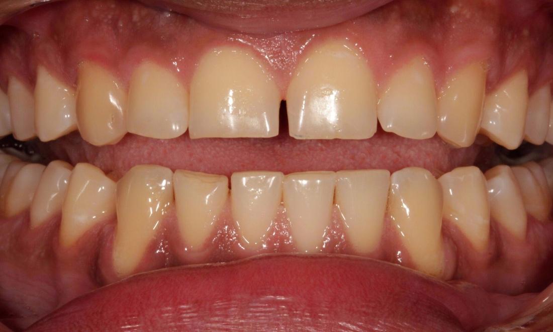
Nick H.

For Nick, we placed 8 veneers, 1 small composite and whitened his teeth. We re-establish proper chewing function and performed an occlusal equilibration with the T-scan digital bite force analysis system. Nick reports his bite feels more stable than ever and the cosmetic improvement was a nice bonus!
Have Questions? Get in Touch
If you have difficulty using our website, please email us or call us at (503) 692-0337
View the ADA Accessibility Statement
Privacy Policy