Accessible Version
Warm Springs Dental
Official Team Dentists for the Portland Trail Blazers!

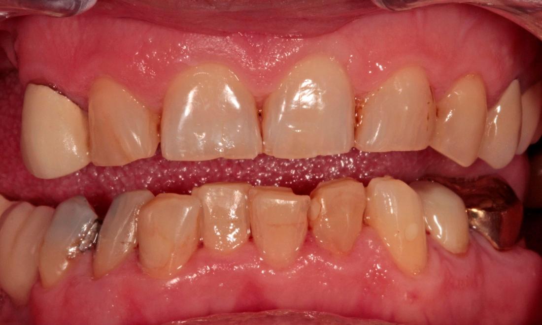
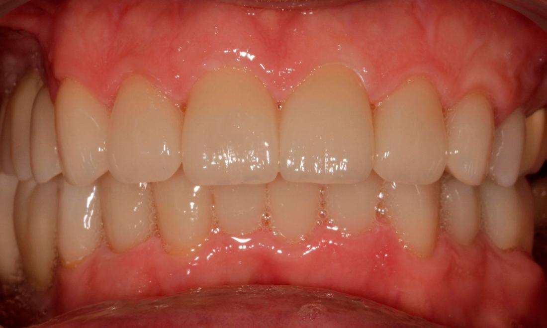
Jon M

Jon's treatment was multifaceted. From dental implants to veneers, to porcelain crowns. We opened his collapsed and severely worn bite to make space for long lasting, lifelike, natural looking teeth. Like so many others, Jon was an expert at hiding his smile. Now, when he smiles, his grandchildren let him know how nice his teeth look and how happy he is! What a great transformation and we couldn't be happier for him!
Getting an appointment is fast and easy!
If you have difficulty using our website, please email us or call us at (503) 692-0337
View the ADA Accessibility Statement
Privacy Policy