Accessible Version
Warm Springs Dental
Official Team Dentists for the Portland Trail Blazers!
Home
About
Our Team
Technology
Office Pictures
Services
View All
Cosmetic Dentistry and Veneers
Crowns, Bridges, and CEREC®
Dental Implants and Bone Grafting
Infection Control
Invisalign
Periodontal (Gum) Treatment and Laser Dentistry
Preventive Dentistry
Root Canals and Tooth Extractions
Sports Dentistry
Teeth Whitening
TMD Treatment and Bite Force Analysis
Smile Gallery
Testimonials
Patient Info
View Patient Info
Your First Visit
Forms
FAQs
Payments
Contact
Warm Springs Dental
Official Team Dentists for the Portland Trail Blazers!
Request an Appointment
Like us on Facebook
Visit us on Yelp
Leave a Google Review
(503) 692-0337
8220 SW Warm Springs St.
Suite 200,
Tualatin, OR 97062
8220 SW Warm Springs St. Suite 200, Tualatin, OR 97062
Warm Springs Dental
>
Smile Gallery
>
Noel J.
Noel J.
Return to Smile Gallery
Previous
Next
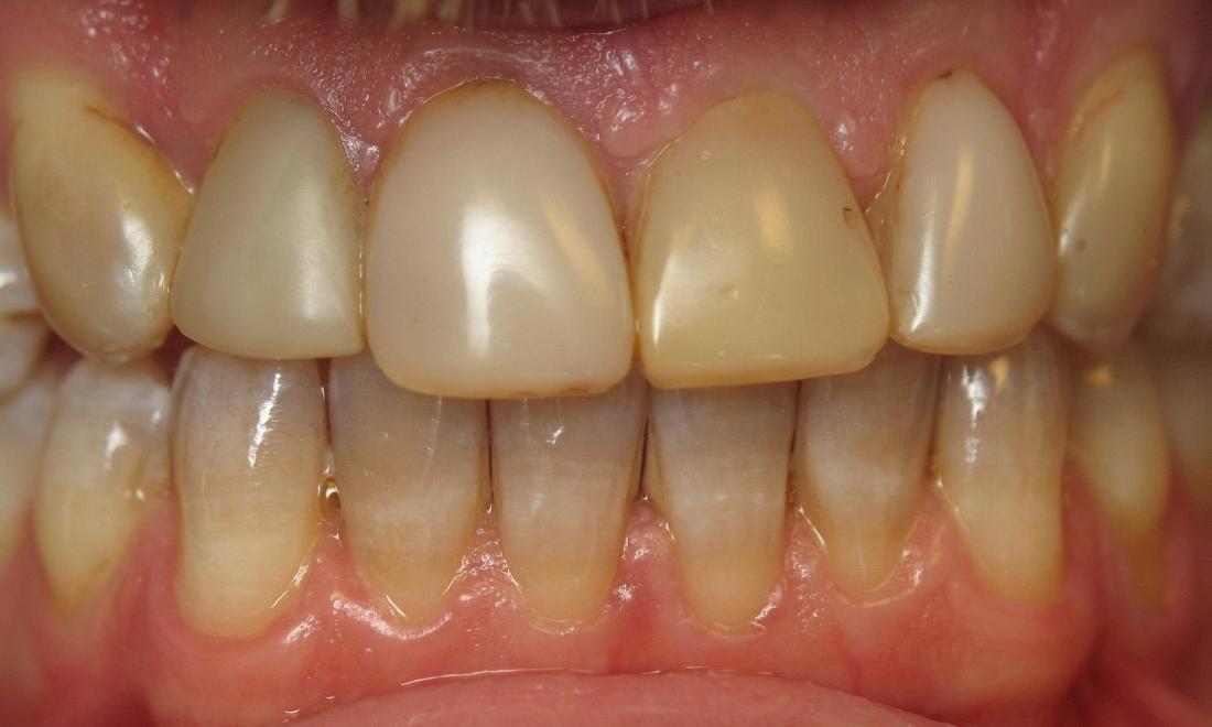
Noel received six veneers after his old composite restorations began discoloring and breaking down. Masking the tetracycline stain of his underlying natural teeth gave him this very nice result!
Related Services:
Cosmetic Dentistry and Veneers
Click image to see a larger picture
Before
After
Improve your smile today – call to schedule a consultation!
Claim Now!
If you have difficulty using our website, please
email us
or call us at
(503) 692-0337
View the
ADA Accessibility Statement
Turn on ADA Views
Privacy Policy
OK!
×
×
Contact Us Today
Give Us A Call
Warm Springs Dental -
(503) 692-0337
Send Us an Email
Request an Appointment
Contact Us
Ready to Schedule an Appointment?
Book Online
Have Questions? Contact Us:
Required Field
Your Name:
Phone:
Email:
Are you a new patient?:
Are you a?
New Patient
Current Patient
How would you like us to contact you?
Please choose
Email
Call
How did you hear about us?
Please choose
I'm an existing patient
Google
Bing
Word of mouth
Social media
Other
Who Referred You?:
Appointment Preferences
Monday
Tuesday
Wednesday
Thursday
Friday
Your Message:
This site is protected by reCAPTCHA and the Google
Privacy Policy
and
Terms of Service
apply.
Sending...
×
This Patient's Experience
Loading Testimonial...
Loading Case...