Accessible Version
Warm Springs Dental
Official Team Dentists for the Portland Trail Blazers!

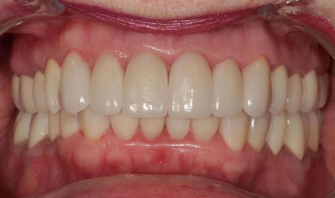
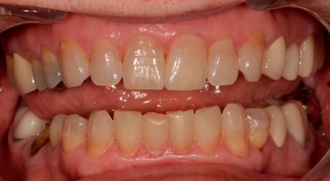
LeeAnn M.

LeeAnn was unsatisfied with the esthetics of her smile. Her natural teeth and existing restorations had evolved into multiple shades and sizes over time. She was no longer excited to show them off with her smile. With her full mouth smile makeover we were able to gain better lip support, harmony of her new teeth with her smile line and a more ideal, comfortable, balanced bite. The after picture says it all: A new, stunning, confident smile!
Have Questions? Get in Touch
If you have difficulty using our website, please email us or call us at (503) 692-0337
View the ADA Accessibility Statement